Revista Paraguaya de Reumatología, Vol. 2, Nº 2, 2016

ISSN 2413-4341

CASO CLÍNICO

ESCLEREDEMA DE BUSCHKE: REPORTE DE UN CASO

Karin Baumann, Nelly Colman, Aldo Ojeda, Margarita Duarte

Departamento de Reumatología. Hospital de Clínicas. Universidad Nacional de Asunción, Paraguay

Autor para correspondencia. Correo electrónico: baumann_karin@hotmail.com (K. Baumann)


RESUMEN

El Escleredema de Buschke es una enfermedad poco común del tejido conectivo, de etiología desconocida que se caracteriza por el exceso de mucopolisacáridos ácidos en la dermis. Se describen tres tipos de acuerdo a su etiología. Clínicamente se caracteriza por induración cutánea simétrica que afecta en forma progresiva la región cervical, rostro, tórax, dorso y miembros, respetando manos y pies. El diagnóstico se basa en el cuadro clínico y los hallazgos histopatológicos característicos. No se ha establecido un tratamiento específico y efectivo, aunque se cita el uso de inmunosupresores, esteroides sistémicos y locales, así como fotoquimioterapia sistémica con psoralenos y radiación ultravioleta. En este artículo presentamos el caso de una mujer adulta con Escleredema de Buschke.

Palabras claves: Escleredema, Buschke, Conectivopatía

 

BUSCHKE SCLEREDEMA. CASE REPORT

Abstract

Buschke‘s Scleredema is a rare connective tissue disorder of unknown etiology that is characterized by excess acid mucopolysaccharide deposition in the dermis. Based on etiology, three types are described. Clinically, symmetrical cutaneous induration that progressively affects the neck area, face, thorax, back and limbs, sparing hands and feet, characterize it. Diagnosis is based on clinical presentation and the characteristic histopathological findings. No specific or effective treatment has been established, although the use of immunosuppressants, systemic and local steroids, as well as systemic treatment with psoralens and ultraviolet radiation has been described. In this article we present the case of a patient with Buschke‘s Type 2 Scleredema.

Keywords: Scleredema, Buschke, Connectivopathy


INTRODUCCIÓN

El Escleredema de Buschke es una entidad rara incluida dentro de los Síndromes Esclerodermiformes, de etiología desconocida, descrita por Curzio en 1752. En el año 1902 el dermatólogo alemán Abraham Buschke le da el nombre de Escleredema y a partir de ahí se la denomina de esta forma1.

Es más prevalente en el sexo femenino (2:1) y no se describe un predominio étnico, siendo más frecuente en personas obesas. En cuanto a la edad, se describe la siguiente distribución: 29 % en menores de 10 años, 22% entre los 10 y 20 años, y 49 % en mayores de 20 años2.

El Escleredema de Buschke se clasifica en tres tipos; Tipo 1 o enfermedad clásica (55 % de los casos): se presenta después de una infección de las vías respiratorias superiores, tiene resolución espontánea en varios meses hasta dos años y se asocia a títulos elevados de anticuerpos antiesptreptolisina. Tipo 2 o idiopático (25 %): es de curso lento y progresivo, sin antecedentes de infección o enfermedad de base, y los pacientes tienen un riesgo incrementado de desarrollar paraproteinemias, incluyendo mieloma múltiple. Tipo 3 o escleredema diabeticorum (20 %): es de curso crónico y progresivo, asociado con diabetes mellitus mal controlada3.

El Escleredema de Buschke tiene un curso variado, generalmente avanza en 1 a 2 semanas, aunque puede continuar haciéndolo durante varios meses. Persiste por espacio de 6 semanas a 2 años, para después desaparecer espontáneamente2.

PRESENTACIÓN DEL CASO

Mujer de 43 años, conocida asmática, que consulta por pérdida de la elasticidad de la piel. Presenta cuadro de dos meses de induración cutánea en región cervical que progresivamente se extiende al dorso (Fig. 2), región anterior del tórax, rostro (Fig. 1), miembros superiores y en menor medida miembros inferiores, respetando manos y pies (Figs. 3 y 4).

La paciente no refería antecendentes de infección próxima al inicio del cuadro, presentaba niveles de glicemia y perfil tiroideo normales, no había datos sugerentes de neoplasias asociadas, no había estado expuesta a tóxicos, ni tampoco consumía medicamentos que podrían estar relacionados con la importante induración cutánea que presentaba.

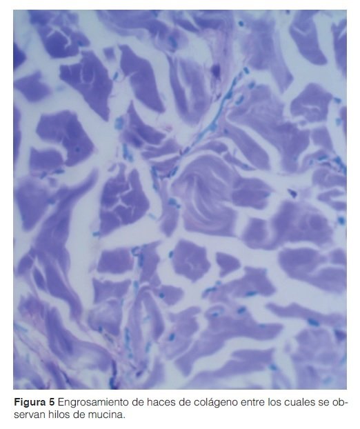
Estudios laboratoriales (hemograma, hepatograma, perfil tiroideo, ANA, anti DNA, anti-Scl 70, anticentrómero, hepatitis virales, proteinograma electroforético) resultaron normales. Las pruebas de función respiratoria revelaron un patrón restrictivo en la espirometría con una TACAR de tórax y una ecocardiografía normales. La anatomía patológica de la biopsia de piel reveló aumento del espesor de la dermis debido a la presencia de haces de colágeno ensanchados, esclerosis y leve infiltrado inflamatorio perivascular. Se observaron además hilos de mucina. Por este dato, junto con la clínica compatible se llegó al diagnóstico de Escleredema Adultorum de Buschke tipo dos. (Fig 5).

DISCUSIÓN

En el caso de nuestra paciente, la misma presentaba induración cutánea en cuello, dorso, rostro (manifestaba cierta dificultad para abrir la boca y tragar, había perdida de pliegues cutáneos), tórax, en menor medida en miembros. Llamaba la atención la completa normalidad de la piel a nivel de las manos y los pies, lo que sugería por la historia clínica, que el Escleredema de Buschke debía ser incluido entre los diagnósticos diferenciales.

Al examen físico es característico del Escleredema de Buschke, un edema duro, simétrico, que afecta la parte posterior y lateral del cuello; el que progresivamente se extiende a cara, hombros, brazos y tórax. Los miembros y el abdomen se afectan en menor medida, y característicamente respeta manos y pies. La induración cutánea es de apariencia brillosa, sin línea de demarcación entre las áreas afectas y las que no lo están. Cuando hay compromiso del rostro la dificultad para abrir la boca podría estar presente, así como perdida de las expresiones, pudiendo aparecer disfagia alta, por infiltración de la lengua o del tercio superior del esófago2,5. Se plantearon otros diagnósticos diferenciales entre los que citamos Esclerodermia (ES), Fascitis Eosinofílica, Morfea, etc.

Se estudió ES en esta paciente, no obstante, la falta de Fenómeno de Raynaud, telangiectasias, anticuerpos específicos de la enfermedad, así como la falta de afectación sistémica y sobre todo la completa normalidad de la piel a nivel de manos y pies nos alejaba de este diagnóstico.

La Morfea generalizada también constituía una de las opciones diagnósticas, aunque las lesiones induradas abarcaban áreas extensas sin delimitar placas, sin una limitación entre piel sana y piel afecta, no presentándose áreas hiperpigmentas y de atrofia como es característico de la morfea7,8,10.

La Fascitis Eosinofílica, fue considerada aunque descartada, ya que como sabemos esta entidad tiene predilección por miembros inferiores, apariencia de ‟piel de naranja” en la zona afecta y se acompaña en la analítica de una importante eosinofilia, características diferentes a las halladas en nuestra paciente9.

Aunque raro, se ha reportado en el Escleredema de Buschke compromiso de otros órganos, como glándulas salivales, ojos, manifestaciones cardiacas y musculoesqueléticas3,6. Estas manifestaciones no fueron observadas en nuestra paciente, aunque si presentaba un patrón restrictivo en la espirometría pero con una TACAR de tórax normal, que en la evaluación conjunta con neumología se determinó de que se debía a la dificultad para lograr una correcta expansión torácica, debida a la importante induración cutánea en tórax, y no a una afectación pulmonar propiamente dicha.

El diagnóstico del Escleredema de Buschke se basa en el cuadro clínico y en los hallazgos histopatológicos, que se destacan por presentar cambios mínimos en la epidermis con importante engrosamiento de la dermis por depósitos de colágeno de tipo I separados por depósitos de mucina, que se identifican con coloraciones especiales4.

En nuestra paciente se llegó al diagnóstico después de descartar otros diagnósticos diferenciales, la historia clínica y el examen físico compatible, certificado por la anatomía patológica, la cuál evidenciaba cambios compatibles con Escleredema de Buschke, como hemos citado anteriormente.

No se describe un tratamiento específico y efectivo para el escleredema, aunque se recomienda tratamien-to sintomático: masajes, baños calientes y fisioterapia. Es posible el uso de algunos agentes inmunosupresores según lo reportado como: ciclosporina, metotrexato,así como también se citan como de utilidad: pentoxifilina, prostaglandina E1, penicilamina, altas dosis de penicilina, inyecciones locales de ácido hialurónico, esteroides sistémicos o locales, factor XIII, fotoquimioterapia sistémica con psoralenos y radiación ultravioleta A (PUVA), baño-PUVA, crema PUVA, así como terapia con rayos UVA-1, radioterapia con haz de electrones, cuya clave radica en la capacidad de inducir poptosis en los fibroblastos dérmicos anormales o interferir con la señalización de las células, disminuyendo así la producción de colágeno y mucina. Nues-tra paciente recibió corticoides y metotrexate como inmunosupresor, asociado a PUVA, masajes y fisioterapia con una evolución favorable.

En pacientes con escleredema asociado con diabetes tipo 2, o en aquellos casos asociados a hipergammaglobulinemia, ha habido respuesta a altas dosis de UVA-1. El tipo asociado a infección por estreptococo parece tener buena respuesta a la terapia con penicilina, resultando en reducción de la induración en un período de 6 meses2,3,11.

AGRADECIMIENTOS

A las Dras Di Martino y Pefaur por facilitar la imagen correspondiente a la anatomía patológica.

BIBLIOGRAFÍA

(1) Tamburin LM, Pena JR, Meredith R, Soong VY. Scleredema of Buschke successfully treated with electron beam therapy. Arch Der -matol. 1998 Apr;134(4):419-22

(2) Baños, Claudia. Escleredema de Buschke: un artículo de revisión. Dermatología Cosmética, Médica y Quirúrgica, 2010, vol. 8, no 4, p. 262-269

(3) De La Torre, Adriana. Escleredema de Buschke. Presentación de un caso. Dermatología Venezolana, 2014, vol. 51, no 1.

(4) Foti R, Leonardi R, Fichera G, Di Gangi M, Leonetti C, Gangemi P, De Pasquale R. [Buschke Scleredema, case report]. Reumatismo. 2006;58(4):310-3

(5) Hernández, Claudia Andrea. Escleredema de Buschke asociado a infección estreptocócica. Rev. Asoc. Colomb. Dermatol. Cir. Dermatol, 2011, vol. 19, no 4.

(6) Roccatagliata, Guillermo. Escleredema adultorum de Buschke y carditis. Arch. argent. pediatr, 2000, vol. 98, no 2, p. 116-9.

(7) Silvariño, Ricardo; Rebella, Martín; Cairolic, Ernesto. Manifestaciones clínicas en pacientes con esclerosis sistémica. Revista Médica del Uruguay, 2009, vol. 25, no 2, p. 84-91.

(8) Bohórquez, María Cristina; Restrepo, José Félix; Gamarra, Antonio Iglesias. Morfea generalizada vs. fascitis eosinofílica. Reporte de un caso y revisión de la literatura. Revista Colombiana de Reumatología, 2002, vol. 9, no 4, p. 316-321.

(9) Velásquez, Ximena, et al. Fascitis eosinofílica: experiencia en tres casos. Revista médica de Chile, 2002, vol. 130, no 2, p. 209-214.

(10) Salazar, Amparo Hernández; Memije, Ma Elisa Vega; Soto, Luciano Domínguez. ¿Escleredema o morfea profunda? Comunicación de un caso. Dermatología Revista Mexicana, 2005, vol. 49, no 6, p. 257-259.

(11) Boin, Francesco et al. Scleroderma-like Fibrosing Disorders. Rheum Dis Clin North Am. Author manuscript; available in PMC 2009 July 6.

Fecha de envío: 20/10/2016 - Fecha de aprobación: 05/11/2016