Revista Paraguaya de Reumatología, Vol. 1, Nº 2, 2015

ISSN 2413-4341

REVISIÓN

EVALUACIÓN IMAGENOLÓGICA DEL COMPROMISO ÓSEO EN LA ENFERMEDAD DE GAUCHER

Gabriel Aguilar

Médico Especialista en Diagnóstico por Imágenes, Jefe del Area Musculoesquelética, Centro de Diagnóstico Dr. Enrique Rossi (CDR), Buenos Aires, Argentina

Autor para correspondencia. Correo electrónico: gaguilar@cdrossi.com(G. Aguilar)


RESUMEN

La Enfermedad de Gaucher (EG) es la enfermedad de depósito lisosomal más frecuente. La deficiente actividad de la enzima Hidrolasa-β-glucosidasa lleva a la acumulación de glucocerebrósidos principalmente en médula ósea, bazo, hígado y pulmones causando daño celular y disfunción orgánica.El compromiso óseo en la EG es causa importante de discapacidad y reducción de la calidad de vida. El diagnóstico por Imágenes cumple un rol fundamental en la evaluación de la alteración ósea en la EG. La cantidad de hueso evaluada por densitrometría ósea, la forma y estructura ósea evaluada por radiología y fundamentalmente la evaluación de la médula ósea por RM, contribuyen a la caracterización del estado del esqueleto y a la evaluación del mismo con el tratamiento instaurado. Haremos una breve revisión imagenológica de los métodos y hallazgos observados en la Enfermedad de Gaucher.

Palabras claves: Enfermedad de Gaucher, Imágenes radiológicas, Radiologic evaluation of osseous compromise in

Gaucher’s disease

Abstract

Gaucher disease is the most frequent lisosomal storage disease. It is an inherited and autosomal recessive disorder caused by mutations in the GBA1 gene. The decreased catalytic activity and /or stability of the glucocerebrosidase enzyme cause the accumulation of glucosylceramide in organs rich in monocytes such as spleen, liver bone marrow and lungs causing organ dysfunction and progressive disability. Skeletal manifestations are common even before diagnosis of GD. Radiological evidence of bone disease rang up to 94% of patients in the ICGG registry. Skeletal complications have a high impact on patients’ quality of life. Radiological imaging plays a fundamental roll in the evaluation at base line and follow-up of these patients. Three studies must be done to complete this task: simple radiology will give us information on bone structure and deformities, dual X-ray absorptiometry (DXA) in gr/cm2 bone to determine bone mineral density and finally MR for the evaluation of bone marrow infiltration. The aim of this article is to present a resume of Gaucher images and the correct protocol to apply.

Keywords: Gaucher disease, Radiological imaging


INTRODUCCIÓN

La Enfermedad de Gaucher (EG) es la enfermedad de depósito lisosomal más frecuente. Es el resultado de una mutación autosómica recesiva en el gen que codifica la síntesis de la enzima Hidrolasa-β-glucosidasa. La deficiente actividad de la enzima lleva a la acumulación de glucosilceramida en los lisosomas del sistema monocito macrófago (Células de Gaucher) produciendo acumulación de glucocerebrósidos principalmente en médula ósea, bazo, hígado y pulmones causando daño celular y disfunción orgánica1. En las formas neurológicas se produce acumulación en el sistema nervioso central. La enfermedad es de presentación crónica con afectación multisistémica. Los síntomas más frecuentemente encontrados al diagnóstico son citopenias periféricas, visceromegalias y distintos grados de enfermedad ósea.

El compromiso óseo en la Enfermedad de Gaucher es causa importante de discapacidad y reducción de la calidad de vida.

La médula ósea (MO) es infiltrada por las células de Gaucher con predilección por la columna, la pelvis y en particular la región diafisaria de los fémures, tibias y húmeros. La acumulación del glucocerebrósido induce la activación de los macrófagos que promueven procesos inflamatorios. La liberación de factores inflamatorios por las células de Gaucher podría interferir en la actividad de las células óseas tanto de la progenie osteoclástica como osteoblástica. También se postula que la infiltración por las células de Gaucher en la MO aumenta la presión intraósea y ocasiona edema doloroso e isquemia, pudiendo ser una de las causas de los infartos y crisis óseas2.

El Diagnóstico por Imágenes es fundamental para la evaluación de la alteración ósea en la EG. Disponemos de tres métodos básicos: la Radiología (RX), la Densitometría Osea (DO) y la Resonancia Magnética (RM).Los mismos son los pilares fundamentales en la evaluación imagenológica del esqueleto. Cada uno de ellos aporta información necesaria y complementaria entre sí(3,4).

La DO medida por DXA nos da información de la Densidad Mineral Ósea, o sea de la cantidad de hueso que tiene el paciente, permitiendo diagnosticar la presencia de osteopenia u osteoporosis. Nos da un valor objetivo y exacto de la cantidad de hueso en gramos por centímetro cuadrado. No da información acerca de la calidad ósea. Por eso combinamos la DO con RX y RM para tener información completa de las características del esqueleto5.

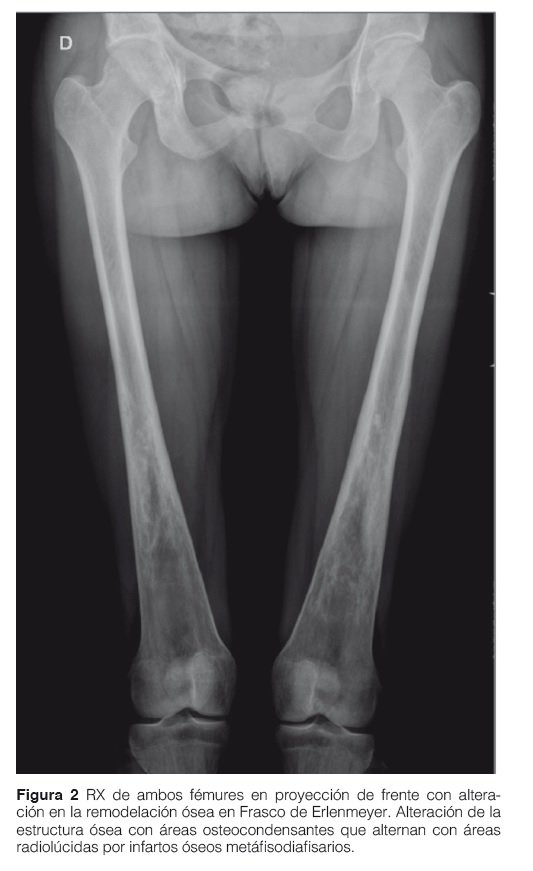
La Radiología muestra la forma y estructura del hueso además de sus relaciones articulares. Es un método simple, rápido y de fácil acceso. El hueso se afecta de manera secundaria a la afectación de la medula ósea. Por eso los cambios son tardíos. Sin embargo nos permite saber de manera rápida la historia de la enfermedad y la gravedad del compromiso óseo, evaluar la presencia de fracturas, infartos, necrosis vascular, compromiso articular y grado de remodelación ósea. Secundariamente y de manera menos precisa también podemos evaluar la densidad mineral ósea (Fig. 2 y 3).

La evaluación de la infiltración de la medula ósea en la Enfermedad de Gaucher se realiza adecuadamente con Resonancia Magnética (RM)6,7,8. La RM es el método de elección para la evaluación de la MO (gold standard). En la EG, la MO se encuentra afectada por la expansión del sistema reticuloendotelial a partir de células de Gaucher. Este reemplazo se evalúa adecuadamente con RM, no teniendo franca representación en radiología convencional o tomografía computada. La RM discrimina adecuadamente entre medula ósea normal amarilla (grasa) o roja (células hematopoyéticas). Esta MO tiene una señal habitual determinada en las diferentes secuencias utilizadas para la evaluación del esqueleto. Al verse afectada por la EG, la señal de la MO se modifica con un patrón característico de la enfermedad (infiltración o sustitución del componente habitual de la MO). Asimismo pueden evaluarse las complicaciones tanto agudas como crónicas y también observar cambios evolutivos de las mismas. Se pueden realizar evaluaciones semicuantitativas del grado de infiltración según diferentes protocolos y de esta manera monitorear la evolución de la infiltración medular frente al inicio de la terapia o la evolución natural de la enfermedad.

Para la evaluación de la médula ósea utilizamos Resonancia Magnética Corporal Total (Whole Body) en equipos de alto campo (1,5 o 3 Tesla). Las secuencias utilizadas son SE T1 y Stir en cuerpo entero y columna y FSE T2 de fémures. No utilizamos contraste endovenoso (Fig.4).

La combinación de secuencias SE T1 y Stir permite una exacta valoración de la médula ósea. El reemplazo de la médula ósea habitual por células de Gaucher (hipointenso) se ve reflejado claramente en las secuencias T1 y T2 sin saturación de grasa gracias a su calidad anatómica y alto contraste con la grasa hiperintensa normal de la MO grasa o amarilla. En secuencias SE T1 comprobamos el grado de infiltración, tipo de infiltración (homogéneo o heterogéneo) y el daño estructural óseo. En secuencias STIR se evalúa también la infiltración de la MO y pero principalmente y gracias a su gran sensibilidad al edema óseo (hiperintenso en Stir) se evalúa la presencia de lesiones agudas, destacándose las crisis óseas, los infartos, la necrosis avascular y las fracturas (Fig. 5).

Las lesiones óseas en la EG se clasifican en reversibles a la terapia de reemplazo enzimático (TRE) como la infiltración medular y la alteración en frasco de Erlenmeyer especialmente en la edad pediátrica y lesiones óseas irreversibles a la TRE: necrosis ósea avascular e infarto medular. La deformación en matraz de Erlenmeyer en un paciente en edad adulta debe ser considerada como lesión ósea irreversible (Fig. 6).

La evaluación de la enfermedad ósea es necesaria tanto al diagnóstico como en el seguimiento del paciente por lo menos una vez al año o frente a sintomatología aguda (dolor óseo-crisis óseo)9,10 (Fig. 7 y 8).

Para evaluar el volumen del hígado y bazo, utili-zamos secuencias volumétricas rápidas con software volumétrico específico2 (Fig. 9).

CONCLUSIÓN

El Diagnóstico por Imágenes cumple un rol fundamental en la evaluación de la alteración ósea en la enfermedad de Gaucher. Tanto la DO, como la Rx y la RM son estudios que aportan información de suma importancia que es complementaria entre sí no anulándose mutuamente. Estos estudios contribuyen al diagnóstico y evaluación de la respuesta al tratamiento de reemplazo enzimático.

BIBLIOGRAFÍA

(1) Jmoudiak M, Beutler E; Grabowski GA, Futerman AH. Gaucher disease: pathological mechanisms and modern management. Br J Haematol. 2005;129(2):178-88.

(2) Mikosch P, Hughes D. An overview on bone manifestations in G aucher disease. Wien Med Wochenschr. 2010;160/23–24: 609–624.

(3) Roca Espiau M. Aspectos óseos de la enfermedad de Gaucher. Med Clin. (Barc); 2011;137(1):23-31.

(4) Marcucci G, Zimran A, Bembi B, Kanis J, Reginster J. Gaucher Disease and Bone Manifestations. Calcif Tissue Int. 2014; 95:477–494.

(5) L eib ES, Lewiecki M, Binkley N, Hamdy R. Positions of the International Society for Clinical Densitometry. Official. J Clin Dens. 2004;7:1-5.

(6) L udger W. Poll , Cox ML , Godehardt E, Steinhof V, Vom Dahl S Whole body MRI in type I Gaucher patients: Evaluation of skeletal involvement. Blood Cells, Molecules, and Diseases. 2011; 46:53–59.

(7) L audemann K, Moos L, Mengel KE, Lollert A, Reinke J, Brixius-Huth M, Wagner D, Düber C, Staatz G. Evaluation of Bone Marrow Infiltration in Non-Neuropathic Gaucher Disease Patients with Use of Whole-Body MRI –A Retrospective Data Analysis. Fortschr Röntgenstr. 2015;187(12):1093-1098.

(8) Poll L.W, Willers R, Häussinger D, Mödder U, Vom Dahl S. Fortschr Röntgenstr. 2010;182: 979–985.

(9) Maas T. Hangartner G. Mariani K. McHugh S. Moore G. A. Grabowski P.Kaplan A. Vellodi J. Yee L. Steinbach. Recommendations for the assessment and monitoring of skeletal manifestations in children with Gaucherdisease. Skeletal Radiol. 2008;37:185–188.

(10) G iuffrida G, Cappellini MD, Carubbi F, Di Rocco M, Lolascon G. Management of Bone Disease in Gaucher Disease Type 1: Clinical Practice. Adv Ther. 2014;31:1197–1212.

Fecha de envío: 11/10/2015 - Fecha de aprobación: 11/11/2015